2024. 5. 10. 16:04ㆍ비즈니스/헬스케어
2010년대 초반을 거치면서 AI를 활용한 영상처리와 패턴인식 분야가 급속도로 발전했다. 구글 등의 대기업에서는 AI 분야에 대규모로 투자하기 시작하였고, 이미지 분석을 위한 대규모 오픈 데이터셋이 만들어졌으며, 모델의 accuracy는 매년 눈부시게 상승했다.
이러한 움직임은 의료에도 많은 영향을 미쳤다. Medical AI가 가장 먼저 침투한 의료 분야는 Radiology이다. 2013~2014년에는 우리나라 가장 초창기 Medical AI software 회사인 뷰노와 루닛이 생겨났다. Radiology AI는 10년에 가까운 시간 동안 빠르게 발전하여, 현재는 X-Ray 혹은 CT 등 의료 영상을 보고 거의 의사와 비슷한 수준의 정확도로 질환을 진단할 수 있게 되었다. Radiology 이후에 AI가 침투한 두 번째 의료 영역은 dermatology이다. Melanoma 등의 피부암을 진단하는 데 피부 이미지를 분석하는 AI가 사용되기 시작하였다. 2017년 트랜스포머 아키텍처의 등장과, 이후 LLM의 발전으로 현재는 이미지 인식을 넘어선 text-image 멀티모달 모델, VATT(Video-Audio-Text Transformer)등 최신 기술도 의료 분야에 적용되고 있다. 그렇다면 AI가 의료 영역에서 새로운 가치를 창출할 다음 분야는 무엇일까?

병리학(Pathology)
감사한 기회로 제 49회 대한병리학회 봄학술대회에 참가할 수 있었는데, 이곳에서 디지털 병리와 pathology AI의 새로운 가능성을 확인할 수 있었다.
병리학과가 임상에서 수행하는 대표적인 작업은 조직소견을 통한 진단이다. Radiology와 dermatology에 비해 pathology에 AI 도입이 다소 늦어진 이유는 여러 가지가 있다. 우선 데이터셋 구축이 어렵다. Radiology data는 PACS에 접근하기만 하면 일반 이미지 데이터와 동일하게 취급 가능한 반면, pathology는 복잡한 슬라이드 제작 과정을 거치며 이를 이미지화하려면 특수한 장비를 사용해야 한다.

Pathologist의 전통적인 업무 방식은, 환자에게서 biopsy/resection으로 채취한 조직을 일련의 과정을 거쳐 슬라이드로 만들고, 각종 염색법으로 관찰하여 질환의 유무를 판단하는 것이다.
디지털병리는 이러한 슬라이드를 광학현미경으로 직접 관찰하는 것이 아니라 고배율 이미지를 촬영하여 컴퓨터에서 관찰할 수 있도록 한다. 디지털병리 이미지 촬영을 위해서는 특수 장비가 필요한데, 위 사진은 국내 2014년 도입된 Roche사의 디지털병리 기기이며 최근에는 큐리오시스 등 국내기업에서 국산화 시도도 하고 있는 중이다.
두 번째로, 이미지 파일의 용량이 매우 크다. 디지털병리에 이용되는 WSI(whole slide image)파일은 일반적으로 40배율로 스캔되며, 압축을 해도 파일당 1GB를 초과하는 큰 용량을 가지고 있다. 따라서 데이터셋 구축을 위해서는 큰 저장공간이 필요하다. 현재 우리 연구실에서는 pan-cancer screening을 위해 WSI 파일 40,000장 크기의 데이터셋을 구축하고 있는데, 이 몇십 TB 단위의 데이터셋을 효율적으로 관리하기 위해 여러 서버 회사를 이용하고 있다.
또한, WSI 전체를 학습에 이용할 경우 인공지능이 감당하기 어려운 파라미터 수가 필요하다. 따라서 WSI를 작은 패치로 쪼개어 개별적으로 저장해서 사용하는데, 이럴 경우 일반적인 이미지 처리보다 필요한 연산의 수가 매우 많아진다.
이러한 이유로 pathology AI의 도입은 radiology나 dermatology에 비해 늦어졌다. 현재 디지털 병리는 이전에 비해 매우 활발히 연구되고 있으며 병리학자들도 디지털 병리의 필요성에 점차 공감하고 있다.
Unmet needs
대한병리학회에서 신기했던 점은 교수님과 전공의 분들이 디지털병리 도입의 필요성을 무척 느끼고 있었다는 것이다. 병리학 전공하신 선생님들의 unmet needs는 꽤 많았다. 디지털병리가 필요한 세 가지 상황을 알아보자.
먼저, 같은 환자의 슬라이드 두 개를 놓고 비교하고자 하는 경우 디지털병리가 압도적으로 편하다. 광학현미경을 사용하는 아날로그 방식으로 슬라이드를 볼 경우, 비교하고자 하는 같은 환자의 이전 슬라이드를 요청하고 가져오는 데까지 무척 오랜 시간이 걸린다고 한다. 디지털병리를 사용하면 data warehouse에서 단순히 불러오기만 하면 된다.
둘째로, cell counting은 인간이 직접 하기 매우 비효율적이다. 면역조직화학염색(IHC)으로 특정 질환을 진단하기 위해서는, 슬라이드에서 형광 표지된 세포의 수를 직접 세어야 한다. 예를 들어, 유방암 항체 치료를 결정하기 위해 HER2 단백질을 IHC staining하게 되는데, tumor cell 중 HER2 stain이 양성이 나오는 세포의 수를 직접 세어 비율을 결정해야 한다. 병리과 선생님들께 여쭤보니, 몇백 개에 이르는 세포 수를 직접 셀 때마다 숫자가 바뀌는 경우가 빈번하며, 직접 인쇄해서 연필로 세포 하나씩 지워 가며 세는 경우도 있다고 한다. 또한 애매하게 stain된 세포들은 누가 세냐에 따라 양성으로 체크하기도 하고, 음성으로 체크하기도 하기 때문에 진단이 부정확해진다. 이는 CPS와 같이 단순히 세기만 하면 되는 게 아니라 종류를 구별해 가면서 세어야 하는 task에서 훨씬 비효율적이다. 미국에서는 이미 PathAsst(https://arxiv.org/abs/2305.15072)와 같은 foundation model이 등장하여 cell counting 후 자연어로 판독문까지 작성해주는 AI가 등장하여 이러한 작업을 효율화하려는 시도가 활발히 진행중이다.
셋째로, resection한 조직 샘플을 슬라이드로 만들기 위해서는, 한 개의 종양을 20등분 이상으로 쪼개어 각 슬라이드를 일일이 확대/축소해 암세포를 찾기 때문에 시간이 매우 오래 걸린다고 한다. 림프절 전이의 경우에도 몇 개의 림프절에 metastasis가 이루어졌는지를 보기 위해 모든 림프절을 슬라이스를 떠서 현미경으로 확인한다. 서울대병원 병리과 교수님께서는 이러한 반복작업이 병리과 의사 야근의 주된 원인이라고 하셨다.
이러한 Unmet needs가 많은데 왜 대기업에서는 아직 이런 AI모델을 개발하지 않을까? 우선 국내에서는 병리슬라이드 판독에 대한 수가가 적용되지 않는다. 따라서 병원은 기기를 도입하는 것보다 전공의의 인력을 이용하는 것을 선호한다. Unmet needs가 충분히 쌓여있고 비용 문제로 아직 해결이 되고 있지 않은 상황이기 때문에, 수가 개정이 되거나 해외 수요가 생긴다면 상당히 좋은 비즈니스 모델이 생길 것 같은 분야이다.
해외 현황 및 우리나라의 방향
해외에서는 이러한 pathology AI 개발을 위한 foundation model 개발 및 데이터셋 구축을 활발히 하고 있다. 위에서 설명한 PathAsst 이외에도 아래와 같은 pathology-specific foundation model이 개발되었다.
| 모델명 | 연도 | Image Encoder | Text Encoder | Output 형태 | 기타 |
| PLIP | 2023 | CILP | CILP | Classification Retrieval | |
| CONCH | 2023 | ViT | GPT-style models | Classification Retrieval Segmentation Captioning | 범용성 |
| PathChat | 2023 | CONCH | Llama 2 | Classification VQA | 챗봇 |
| PathAsst | 2023 | PathCLIP | Vicuna-13B | Report Generation | 하위모델 호환 |
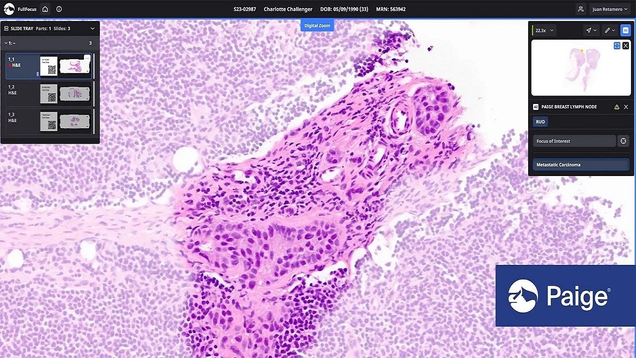
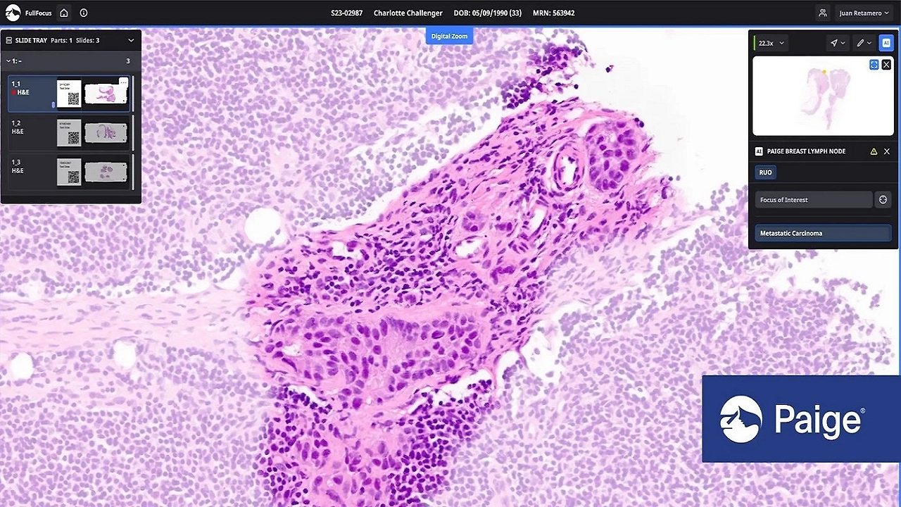
또한, 미국에서는 Microsoft Research 등에 의해 세계 최대의 병리 슬라이드 데이터베이스가 구축되어 있고, Paige(https://paige.ai/) 라는 회사가 이를 이용하여 17종의 암을 정밀진단할 수 있는 소프트웨어를 개발하였다. Paige는 B2H 모델보다, 제약회사를 대상으로 한 B2B 모델을 주로 하고 있는 것으로 알려졌다.

우리나라에서도 이러한 흐름에 맞추어, 대규모 병리학 슬라이드 데이터셋 구축을 위해 많은 투자가 이루어지고 있다. 올 10월에는 아시아 디지털병리 학회(ASDP)가 서울에서 출범하며, 많은 임상 교수님들께서는 AI 엔지니어들과 협력하여 "국산 Pathology AI foundation model" 개발을 꿈꾸고 계신다. 우리 지도교수님께서도, 미국 postdoc이 아닌 국내 교수를 선택한 이유 중 하나로 디지털병리의 가능성을 보셨던 점을 꼽으셨는데, 조만간 이쪽 분야에서 유의미한 프로덕트가 나오길 기대해본다.
'비즈니스 > 헬스케어' 카테고리의 다른 글
| KIMES 2025 미리보기 (1) | 2025.03.22 |
|---|---|
| KHF 2024 미리보기 : NIPA 부스를 중심으로 (16) | 2024.09.30 |
| 한국 의료기기 시장에 관한 인사이트 3편: X-Ray 시장 (feat. KIMES 2024) (3) | 2024.03.24 |
| 한국 의료기기 시장에 관한 인사이트 2편: 피부미용시장 (feat. KIMES 2024) (2) | 2024.03.21 |
| 한국 의료기기 시장에 관한 인사이트 1편: 의료정보시스템 (feat. KIMES 2024) (0) | 2024.03.17 |